Cryoport Sets New Industry Benchmark as First Supply Chain Solutions Provider Certified Under ISO 21973

First Global Supply Chain Solutions Company to Achieve ISO 21973 Certification, Ensuring Highest Transport Safety, Traceability, and Integrity Standards ...

October 31, 2025 | Friday | News
Chromatin Bioscience and Purespring Therapeutics Partner to Develop Cell-Selective Synthetic Promoters for Next-Generation Gene Therapies

Chromatin Bioscience is pleased to announce an ongoing research collaboration with Purespring Therapeutics, a precision nephrology company leading the de...

October 28, 2025 | Tuesday | News
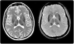
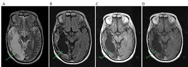
Neurona Therapeutics Treats First Non-MTS Subject in Phase 1/2 Trial of NRTX-1001 for Drug-Resistant Temporal Lobe Epilepsy

  - First subject received unilateral administration of NRTX-1001 in a new non-MTS cohort; no significant surgical complications or adverse events re...

October 09, 2025 | Thursday | News
Avobis Bio Earns FDA RMAT Designation for AVB-114 in Crohn’s Perianal Fistulas

Avobis Bio LLC, a clinical-stage company developing implantable cell therapies, announced  that the U.S. Food and Drug Administration ("FDA") has gr...

October 06, 2025 | Monday | News
Leo Cancer Care Partners with TibaRay to Power Next-Gen Upright Radiotherapy with Advanced Linac Technology

Leo Cancer Care announced that it has placed orders for TibaRay's advanced linear accelerators (linacs), which will be evaluated as an upgrade option to th...

October 06, 2025 | Monday | News
Revvity and Profluent Lead the Next Frontier in Gene Editing with AI-Powered Precision

In conversation with BioPharma BoardRoom, Amanda Haupt, Business Unit Manager for Base Editing at Revvity, shares insights into how the com...

October 06, 2025 | Monday | Interaction
Galapagos Cell Therapy Division in Play: Board Eyes Binding Bids Within Weeks

Galapagos announced that its Board of Directors (the “Board”) had decided to explore all strategic alternatives for its cell therapy business...

October 02, 2025 | Thursday | News
European Commission Approves Lilly’s Kisunla™ (donanemab) for Early Symptomatic Alzheimer’s Disease

Approved for use in the earliest symptomatic stages, Kisunla is the only once-monthly amyloid plaque–targeting therapy with evidence supporting tre...

September 26, 2025 | Friday | News
Remedium Bio and Eli Lilly Enter Multi-Target Gene Therapy Collaboration in Type 2 Diabetes and Obesity

Lifespan Vision Ventures is pleased to announce that its portfolio company, Remedium Bio, Inc. ("Remedium"), has entered into a multi-target research and...

September 24, 2025 | Wednesday | News
Rise Therapeutics Expands Oral Dendritic Cell Modulator Program into Sjögren’s Disease Following Positive RA Clinical Data

Supported by recent clinical data from the first-ever clinical study of an oral dendritic cell (DC) modulator in rheumatoid arthritis (RA), Rise Therapeu...

September 24, 2025 | Wednesday | News
Sartorius Opens GMP Facility in Illkirch to Boost Cell and Gene Therapy Production

New GMP facility for transfection reagents of French sub-group Sartorius Stedim Biotech in Illkirch Facility equipped to support next-generation techn...

September 19, 2025 | Friday | News
VintaBio Files Patents for Breakthrough Biotherapeutics Manufacturing Platform That Slashes Development Timelines

Proprietary process reduces development timelines from 18 months to as little as 3, eliminates reliance on traditional plastic flatware, and offers rap...

September 17, 2025 | Wednesday | News
Pioneering DNA Innovator Dr. Martin Schleef Wins NRW Innovation Award 2025

The founder and long-standing CEO of PlasmidFactory GmbH, Dr. Martin Schleef, was honored in Düsseldorf with the Innovation Award 2025 of the State ...

September 11, 2025 | Thursday | News
Booking Health Expands Access to Dendritic Cell Immunotherapy for Recurrent Glioblastoma as New Clinical Data Confirm Survival Gains

Booking Health, a global medical travel platform, announced the expansion of patient access to dendritic cell immunotherapy for recurrent glioblastoma, f...

September 10, 2025 | Wednesday | News

Survey Box

Poll of the Week

Which area of biopharmaceutical research excites you the most?

× Please select an option to participate in the poll.
Processing...
× You have successfully cast your vote.
 {{ optionDetail.option }}  {{ optionDetail.percentage }}%
 {{ optionDetail.percentage }}% Complete
More polls
Stay Connected

Sign up to our free newsletter and get the latest news sent direct to your inbox

© 2025 Biopharma Boardroom. All Rights Reserved.

Show

Forgot your password?

Show

Show

Lost your password? Please enter your email address. You will receive a link to create a new password.

Back to log-in

Close